Всем известная эпидемия заставила нас серьёзнее относится к своему здоровью. С недавних пор коронной стала давно известная технология обследования — компьютерная томография, или КТ.
Сегодня едва ли каждый с легким кашлем или болью в груди считает необходимым пройти эту процедуру. Впервые за всю историю пред кабинетами КТ выстраиваются очереди, аппараты работают почти круглосуточно, а люди стремятся пройти обследование, часто минуя решение врача.
А все ли так гладко? Можно ли самостоятельно назначить себе КТ? Нет ли вреда и способна ли КТ увидеть все то, что хотят диагностировать её новые поклонники?
Подробно разобрались в нюансах технологии и отвечаем на все вопросы.
Как рентген превратился в КТ?

Традиционную рентгенографию проводят с источником и фотопластинкой даже сегодня
Современная компьютерная томография, как и знакомая всем рентгенография («рентген») — один из множества видов исследования объектов изнутри с помощью одноименного излучения, получившего свое название благодаря первооткрывателю, Вильгельму Рентгену.
Он выяснил, что ряд материалов способен без внешних воздействий испускать излучение, оставляющее снимки на фотопластинках, заменявших в то время привычную нам фотоплёнку.
Подробное изучение рентгеновских лучей выявило, что эффект основан на процессах, связанных с перемещением электронов источника лучей, которые во многом похожи на гамма-излучение.

«Аналоговый» рентген
В том числе — по силе проницаемости: как и гамма-, рентгеновское излучение проходит практически через любые материалы без отражения и преломления (точно напрямую), так же является ионизирующим (может вызывать лучевую болезнь).
Тем не менее, рентгеновское излучение поглощается, причем разные вещества делают это с разной силой. Мягкие ткани оно просвечивает «насквозь», твердые органические материалы частично, а в металлах — почти полностью задерживается.

Схема работы современных рентгеновских аппаратов
Благодаря «просвечиванию» и эффекту флуоресценции (свечения) материалов под действием рентгена, появились рентгеноскопия (наблюдение изображения на флюоресцирующем экране) и рентгеновская съёмка (рентгенография), ставшие популярными методами медицинских и промышленных рентгенографических методов неразрушающего исследования.
В 1917 году Радон изобрел алгоритм, позволяющий создавать объемную модель исследуемого тела по последовательно выполняемым рентгеновским снимкам с изменением силы излучения.

Компьютерная томография очень похожа на рентген
В 1963 появилась полноценная математическая модель для практического пересчета, а в 1969 — первый аппарат для томографических исследований, за который спустя 3 года создатели получили Нобелевскую премию.
БЫВАЕТ: первый томограф создала компания EMI на деньги, полученные от продаж пластинок Beatles, которые записывались на её студиях.
Рентген и томография. В чем отличия?

Обследование при помощи томографии сильно отличается от рентгеновского
Компьютерная томография — один из видов обследования с помощью рентгеновских лучей, способный дать трёхмерную послойную картину предмета, что называется, изнутри.
Классический рентген-аппарат, с помощью которого делают знакомые нам черно-белые снимки сломанных костей или флюорографию легких, использует жестко установленный источник рентгеновского излучения.
Им он просвечивает объект однократно, но множеством пучков. Каждый оставляет на чувствительной подложке за исследуемым телом следы, отличающиеся своей интенсивностью.
Чем больше исследуемый участок поглощает лучи, тем тусклее изображение. Именно поэтому рентген хорошо показывает твердые составляющие организма (кости, опухоли, инородные тела) — их поглощение ввиду состава выше, чем у мягких тканей.

Современный рентген использует цифровой детектор, но не умеет «ездить вокруг» и снимать 3D
Сегодня существуют цифровые рентген-аппараты, в которых привычный «снимок» — чувствительная к рентгеновскому излучению подложка, — заменена цифровым детектором, позволяющим выполнять снимки и в «динамике», то есть в реальном времени.
Тем не менее, принцип работы остаётся прежним: снимок выполняется мгновенно по всей исследуемой области, давая плоское одномерное изображение «насквозь».
В отличие от рентген-процедуры, КТ использует метод послойного «просвечивания» исследуемого объекта с дискретно (определенными уровнями) увеличивающейся мощностью рентгеновского пучка, который регистрируется на цифровом детекторе.

Знакомый многим «рентген зубов» на самом деле уже давно заменен томографией
С каждым шагом, увеличивая интенсивность излучения, аппарат «забирается» глубже — рентгеновское излучение пошагово делает снимки объекта на толщину 1-3 сантиметра. Затем результат сводится воедино.
Исследование даёт множество снимков, которые один за другим показывают весь объем исследуемого тела. Затем они совмещаются согласно специальным алгоритмам с помощью компьютера в единую трёхмерную цифровую модель, позволяя «покрутить» исследуемый объект, рассмотрев его изнутри со всех сторон.
Преимущества КТ

Томография позволяет строить сложные трехмерные модели
Если аномалия на рентгене может спрятаться за чем-то другим, поглощающим рентгеновское излучение лучше (так «исчезают» за костями многие опухоли), от КТ ей не убежать: специалист может повернуть изображение нужной стороной.
Точно так же с помощью трехмерного изображения оценивают состояние сложных поверхностей, практически неидентифицируемых на рентгене. Например, не только размеры, но и форму органов со всех сторон.
Что ещё интереснее, с помощью современных аппаратов для КТ с высокой скоростью генерации пучков излучения можно получить изображение в динамике. Посмотреть не только что, но и как.

Кровеносную систему в динамике иначе не увидеть
Поэтому результаты КТ-обследования куда ближе к ультразвуковым способам исследования (УЗИ), чем к обычному рентгену, от которого они наследовали только базовый принцип работы.
Впрочем, КТ серьезно отличается и от УЗИ. Дешифровка картин, полученных с помощью ультразвука, полностью лежит на специалисте, проводящем конкретное исследование. Уже на стадии самой съемки, поскольку аппараты требуют конкретной настройки под пациента и обследуемую область.
Для использования КТ в медицине был разработан международный стандарт, которому подчиняются все существующие медицинские комплексы. Поэтому КТ полностью объективно, как и рентген — хотя бы до стадии получения снимка.
Как работает современный томограф?

Конструкция томографов и собственно методика томографии неоднократно изменялись за время существования технологии, сменив 4 поколения.
Первые томографы имели только 1 излучающую трубку и детектор, движущиеся вокруг объекта последовательно, слой за слоем. Последующее получило увеличенное количество излучателей и детекторов.
Третье поколение ввело понятие «спиральной томографии»: увеличенное количество трубок и детекторов за один шаг стола синхронно осуществляли полное вращение по часовой стрелке, что значительно уменьшило время исследования.
Четвертое поколение получило движущийся излучатель (или несколько) и множество жестко закрепленных детекторов на одном кольце. Сейчас это самый распространенный тип томографа, но встречаются и аппараты третьего поколения.

Современный томограф
Точный и быстрый анализ органов обеспечивают только аппараты последнего поколения с несколькими излучателями.
Наиболее продвинутые современные томографы работают по принципу четвертого поколения, но оснащены парой излучательных трубок, закрепленных под угол в 90 градусов относительно друг друга. Именно они требуются для исследования органов в режиме реального времени.
Для обследования мягких тканей, которые сливаются на рентгеновских снимках с соседними, используют контрастную подсветку — йодосодержащие препараты, светящиеся в рентгеновском спектре.
Их вводят в орган или систему, которые после проявляются на томограмме. Например, с помощью инъекции в вену можно подсветить кровеносную систему, а выпитый индикатор проявляет желудочно-кишечный тракт.
Насколько вредно делать КТ?

Обратите внимание на детализацию: чем выше, тем больше полученная доза излучения
Процедура занимает от 1 до 10 минут, в том числе при использовании наиболее современных аппаратов. Чем дольше — тем больше полученная организмом доза рентгеновского излучения.
В среднем она выше той, что получают при рентгене в 10 раз: если его врачи рекомендуют делать не чаще 10 раз в год, КТ — 2-3 раза.
Компьютерная томография легких даёт дозу порядка 5 мЗв (милли-зиверт), брюшной полости в 8 мЗв, КТ всего тела — 10 мЗв.

КТ требует меньшей защиты персонала, но даёт больше излучения
В среднем, облучение за одно обследование грудной клетки с помощью КТ в 150 раз превышает дозу, получаемую во время обычного рентгена. Так что самостоятельно назначать себе КТ не стоит.
Живя в средней полосе России, человек получает дозу излучения около 3 мЗв. Авиаперелет из Москвы в Европу даёт облучение на уровне 0,05 мЗв.
Максимально допустимая для человека годовая доза любого ионизирующего излучения составляет 100 мЗв, а полученные 250 мЗв гарантированно отправляли домой ликвидатора из Чернобыльской зоны.
Кому и когда нельзя делать КТ?

Детям КТ проводят только при серьезных заболеваниях
Томография категорически запрещена беременным и допускается только при необходимости детям.
С «контрастом» — йодосодержащими препаратами, — ограничений намного больше.
Кроме тех заболеваний, при которых явно запрещено принимать йодосодержащие препараты, этот вид обследования противопоказан диабетикам, лицам с массой тела, превышающей допустимую для прибора, пациентам в тяжелых состояниях, если риск обследования превышает пользу.
Всем остальным её можно делать без опаски — но только с учетом общегодовой дозы облучения, в которую стоит включать перелёты, рентгенографические обследования и все остальные случаи взаимодействия с ионизирующим излучением.
Их в нашей жизни немного, но они все-таки есть.
Когда нужно выбрать КТ вместо рентгена?

Рентген в виде плоских снимков проще и безопаснее для человека, нежели компьютерная томограмма. Однако, работу органов в режиме реального времени на рентгене не увидеть.
Точно так же рентген не способен показать объемные и замаскированные другими контрастными включениями проблемы, к которым часто относятся опухоли, проблемы с сосудами, сложные травмы.

КТ проводят и после операций, особенно при внедрении металлических протезов, шунтов или кардиостимуляторов
Поэтому КТ назначают в случае необходимости срочного принятия решения при подозрении на серьезные проблемы сердца и мозга, а так же другими экстренными состояниями, в которые входят:
- травмы головы, сопровождающиеся обмороками,
- головная боль при подозрениях на серьезные нарушения в работе организма,
- судороги, проявившиеся впервые без причины, и в сочетании с подозрением на системные заболевания,
- нарушения психического состояния при подозрениях на поражение мозга.
Плановые и не срочные обследования с помощью КТ проводятся строго по назначению врача в тех случаях, когда более простые методы не дают результата. В противном случае лучевая нагрузка неоправданно высока.
Почему КТ — не панацея?

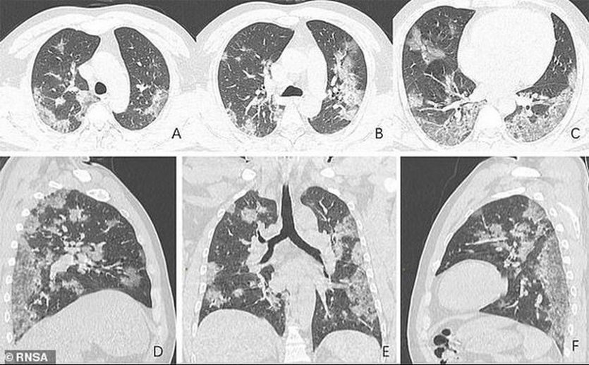
COVID виден на томограмме даже не специалисту
Если бы не эпидемия COVID, большая часть жителей нашей страны даже не услышала бы о томографии, и уж точно не столкнулась с ней в жизни. И дело не только в цене.
В зависимости от региона России, стоимости услуг врача и обследуемого органа, томография обойдется в сумму от 1 500 до 10 000 рублей за один орган, или до 100 тысяч за подробное исследование всего организма. Тогда как обычный рентген или УЗИ не стоят и тысячи.
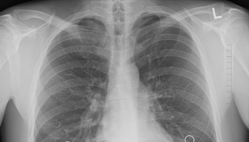
Пресловутый COVID во многих случаях первично диагностируется уже на обычных рентгеновских снимках. То же с другими проблемами легких.

Даже на рентгеновских плоских снимках видно COVID
Аналогично, первичная диагностика ряда заболеваний и состояний человека, не требующих срочного вмешательства, диагностируются более простыми и дешёвыми методами.
В иных, сложных случаях, хорошо проявило себя более безопасное обследование с помощью МРТ-аппаратов — более длительное, требующее покоя и не разрешенное людям с металлическими «запчастями».
Кроме того, стоит помнить, что КТ не заменяет другие объективные анализы — человеческих жидкостей, например. Которые в руках опытного эксперта часто говорят ничуть не меньше.

Полная томография позволяет находить рак на ранних стадиях
Нестись сломя голову прямо сейчас в ближайший круглосуточный центр для КТ не стоит: там можно встретить древний аппарат, да и точность обследования во многом зависит от оператора установки.
Компьютерная томография — для сложных случаев, срочного определения опасных состояний и контрольных комплексных исследований, а так же объемной или динамической диагностики. Но не для самолечения!
P.S. Не забывайте вовремя проходить плановые обследования, вовремя обращайтесь к врачу и будьте здоровы!



“Однако, работу органов в режиме реального времени на рентгене не увидеть.”
Запятая не нужна ;-)
Разобраться в этом вопросе достаточно легко. Когда “однако” расположено в начале предложения и на его место можно поставить “но”, тогда это союз и запятая не нужна. “Однако надо подумать”.
Если же слово “однако” находится в конце или середине предложения, то оно может выступать вводным словом. В таком случае, оно будет выделяться запятыми. Например: Как он хорошо придумал, однако.
@sizar, это предложение вообще не нужно… потому как работу органов (сердца, к примеру) при “рентгене” увидеть можно… метод называется рентгеноскопия… он появился ещё при жизни Вильгельма Рентгена.