Многие из нас засыпают в обнимку со своим iPhone. Листают перед сном ленту Instagram и кладут смартфон на прикроватную тумбочку. Чтобы утром неглядя отключить один из сработавших будильников.
И если зависимостью от социальных сетей Apple начала борьбу, то вот с привычкой класть смартфон рядом с подушкой компания вряд ли что-то сможет сделать. Между тем, эта привычка может стоить вашему организму очень дорого.
Рассказываем, почему во время сна нужно класть телефон подальше от головы.
Международное агентство по изучению рака предупреждает: мобилы могут быть опасны

Электромагнитное излучение радиочастотного диапазона, генерируемое смартфоном, человек не видит и не чувствует и именно поэтому не считает нужным предостерегаться от опасного воздействия этого излучения.
Тем не менее, системы сотовой связи и беспроводного интернета создают фоновое электромагнитное излучение, которое угнетающее действует на нервную и эндокринную систему человека.
В Международном агентстве по изучению рака (IARC) учёные уже давно пришли к выводу, что использование мобильного телефона может увеличить риск развития некоторых видов опухолей головного мозга.
В огромном сборнике исследований приводятся факты того, что мобильные устройства не так безвредны, как об этом заявляют производители и лаборатории, выдающие сертификаты безопасности.
Так, в одном из трактатов были рассмотрены тенденции в показателях недавно диагностированных случаев рака мозга в Англии в период с 1998 по 2007 год. Общие показатели заболеваемости раком мозга у мужчин или женщин, или в какой-либо конкретной возрастной группе не были увеличены.
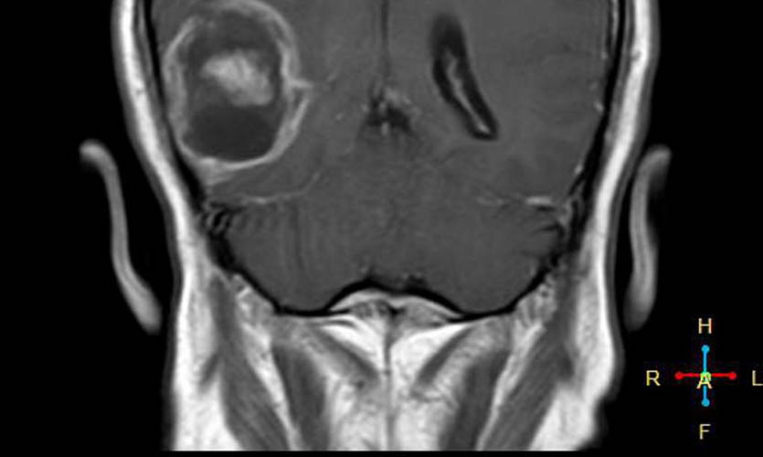
Но вот, частота опухолей височной доли увеличилась в период с 1998 по 2007 год. То есть во время широкого распространения мобильных телефонов среди населения.
Месторасположение смартфона возможно влияет на развитие болезней. Хм

Для анализа случаев заболевания использовался массив данных из семи европейских стран INTERPHONE (Дания, Финляндия, Германия, Италия, Норвегия, Швеция и юго-восточная Англия).
Было проведено исследование радиочастотных электромагнитных полей путём оценки общей кумулятивной дозы удельной энергии (TCSE) для каждого человека. Для каждого случая местоположение опухоли определяли нейрорадиологами, а центр опухоли оценивался компьютерным алгоритмом или непосредственно нейрорадиологом.
Для каждого случая средняя точка опухоли на трехмерной сетке определялась на основе радиологических изображений.
По итогам исследования выяснялось, что у пользователей мобильных телефонов наблюдалось повышение шансов появления злокачественных опухолей головного мозга и развития астроцитомы при использовании мобильных телефонов только с одной стороны головы.
Проще говоря, если ваш смартфон лежит ночью с правой стороны (по статистике именно так), то риск появления опухоли возрастает именно справа.

В Японии учёные изучили серию случаев акустической невромы, диагностированных в период между 2000 и 2006 годами. В целом, не было избыточного риска акустической невромы среди всех пользователей мобильных телефонов.
Однако среди некоторых подгрупп, а именно тех, которые имеют наивысшую продолжительность ежедневных звонков, были оценены отношения высокого риска.
Другими словами, чем чаще вы разговариваете по мобильному телефону, тем больше шансов у вас попасть в зону риска.
Кто-то, возможно просто врёт. Но это не точно

Прямых угрожающих доказательств в материале не приводится. Казалось бы, можно расходиться. Но!
Но любопытным моментом является тот факт, что возглавлял рабочую группу по изучения воздействия электромагнитным радиочастотам некий Андерс Ахлбом (Anders Ahlbom).
Старший преподаватель Каролинского института в Швеции Андерс Ахлбом с 1990-х являлся телекоммуникационным лоббистом. Он активно участвовал в установлении противоречивых стандартов ICNIRP по радиации из разных источников, таких как беспроводные устройства и сотовые башни.

В течение нескольких лет Aндерс отмечал, что сотовые телефоны вряд ли приведут к опухолям. Во множестве интервью, он заявлял – «У нас нет оснований полагать, что такие риски будут». Тем самым он стал любимчиком в промышленности и правительстве, которые стремятся успокоить тревожную публику.
Другой шведский ученый Леннарт Харделл (Lennart Hardell) открыто вступал в конфронтацию с Андерсом. Он связывал заявления об отсутствии риска для здоровья с прямой связью Андерса и телекоммуникационных компаний.
Его также поддержала журналистка Мона Ниссон. В своем докладе она приводила прямые доказательства связи Андерса с заинтересованными компаниями.
Ложь была раскрыта. Новые требования ученых

В 2017 году Агентство общественного здравоохранения Швеции (Folkhälsomyndigheten) опубликовало отчёт, в котором был раздел о рисках для здоровья ЭМП, написанный Андерсом Альбом и Марией Фейхтинг.
В этом докладе грубо фальсифицируются имеющиеся научные данные. Согласно документу, за последние 15 лет их заявления и отчёты неизменно были предвзятыми в отношении интереса к телекоммуникациям, ИТ и электроэнергетике.
В 2018 году 236 независимых учёных подписали обращение с просьбой рассмотреть устаревшие стандарты ICNIRP, которые недостаточны для защиты здоровья человека. Среди подписавшихся были также 5 российских учёных.
Их независимое заключение резко контрастирует с докладом Андерса Альбома и Марии Фейчинг.
Эффекты включают повышенный риск рака, клеточный стресс, увеличение вредных свободных радикалов, генетические повреждения, структурные и функциональные изменения репродуктивной системы, дефицит обучения и памяти, неврологические расстройства и негативное воздействие на общее самочувствие у людей.
».В общем, не стоит доверять спорным исследованиям семилетней давности, авторами которых были не чистые на руку люди. Очевидно, что телекоммуникационный рынок скроет любые негативные отчёты, лишь бы не пугать своих покупателей. Чего бы рынку это не стоило.
Поэтому выход один – будьте внимательны, берегите здоровье и кладите телефон подальше от подушки. Это хотя бы немного, но защитит от дополнительного риска проснуться в один прекрасный день с опухолью в голове.



Ничего что излучение солнца и лампочки на потолке намного опаснее?
@blackhk, можно про лампочку подробности?))
@Юрий Андреев, на расстоянии 10см смотреть не моргая в течении 10 мин?
@Dmitry Mihailov, про лампочку конечно глупость, однако самый сильный источник радиации – СОЛЦЕ.
@Phonerz, это на уроках физики так сейчас говорят? а ничего, что атмосфера защищает от солнечной радиации?
@toivan, от нее “защищает” магнитосфера земли.
Google: СОЛНЕЧНАЯ РАДИАЦИЯ ИЛИ ИОНИЗИРУЮЩЕЕ ИЗЛУЧЕНИЕ СОЛНЦА